Sei un operatore sanitario?

Questo sito è dedicato a personale sanitario  qualificato, coinvolto nella gestione del carcinoma gastrico o della giunzione gastroesofagea.

NON SONO UN OPERATORE SANITARIO MA DESIDERO MAGGIORI INFORMAZIONI SUI TUMORI GASTRICI/DELLA GIUNZIONE GASTRO-ESOFAGEA

Questo sito contiene risorse scientifiche ed è sviluppato da Astellas Pharma S.p.A.
MAT-IT-NON-2024-00092 Agosto 2024

Close-up of a microscope with an abstract overlay of white circles in a lab setting

Interpretazione della colorazione

Gli studi hanno valutato sia la colorazione della membrana che la percentuale di cellule tumorali colorate per l'espressione di CLDN18.2.1,2

Nei tumori G/GGE, CLDN18.2 è riportata come percentuale di cellule tumorali colorate con intensità di colorazione di membrana da moderata a forte.1

  • I vetrini di tessuto con presenza di cellule tumorali possono mostrare livelli variabili di intensità di colorazione di membrana di CLDN18, che vanno da nessuna colorazione a una forte colorazione (da 0 a 3+).
  • La percentuale di cellule tumorali colorate deve includere solo le cellule che presentano colorazione di membrana
  • Tenere conto della necrosi tumorale durante l'interpretazione

 

stain-interpretation

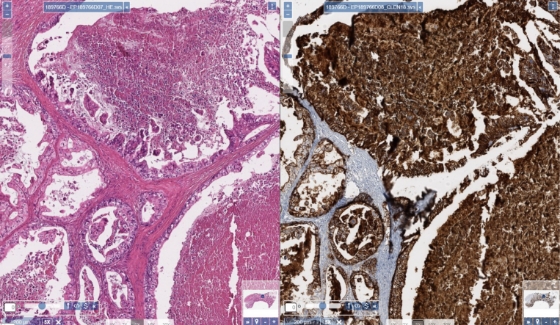
Colorazione H&E e IHC corrispondenti di necrosi tumorale gastrica (ingrandimento 10x)

overlayvideoimage
play-icon

stain-interpretation

stain-interpretation

closeicon
volumeicon

stain-interpretation

closeicon

stain-interpretation

Come interpretare l'espressione di CLDN18.2

Josef H. Rüschoff, MD

Clicca per vedere la galleria delle colorazioni e il quiz

Grey circles on light background

Quando si riporta l'espressione di CLDN18.2, devono essere incluse sia l'intensità della colorazione che la percentuale di cellule tumorali colorate1

Bibliografia: 1. Pellino A, Brignola S, Riello E, et al. Association of CLDN18 protein expression with clinicopathological features and prognosis in advanced gastric and gastroesophageal junction adenocarcinomas. J Pers Med (Epub) 10-26-2021. 2. Rohde C, Yamaguchi R, Mukhina S, et al. Comparison of Claudin 18.2 expression in primary tumors and lymph node metastases in Japanese patients with gastric adenocarcinoma. Jpn J Clin Oncol 2019;49(9):870-6.